Planejamento Digital do Sorriso – DSD
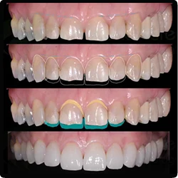
O planejamento digital do sorriso é uma técnica indicada para os mais diferentes problemas e necessidades dos pacientes. Ela contribui tanto para identificar a melhor aparência dos dentes como também promover melhor funcionalidade para as arcadas dentárias. No caso da estética, problemas, como assimetria, desarmonia, desalinhamento, tonalidades diferentes, formato da gengiva, falta de dentes, entre outros, prejudicam a aparência do sorriso, sendo necessário realizar tratamentos que modificarão esses fatores. O DSD é indicado tanto para pequenas intervenções, como um clareamento dental ou a colocação de lente de contato, até procedimentos mais complexos, como as cirurgias buco-maxilares.

Quais são as vantagens do planejamento digital do sorriso?
A possibilidade de planejar o sorriso em meio digital antes de realizar as intervenções e tratamentos de fato possibilita alcançar vantagens e benefícios, tanto para o profissional quanto para seu paciente.
Como o DSD ajuda o paciente?
A introdução desse tipo de procedimento de alta tecnologia, está gerando resultados fantásticos e revolucionando o tratamento estético na odontologia.
O conceito é baseado na análise de proporções faciais e dentais do paciente usando uma série de vídeos digitais e um conjunto de fotografias de alta qualidade para entender a relação entre dentes, gengivas, lábios, características faciais em movimento, emoções e sorriso.
Quando todos os dados são reunidos, eles são prontamente transferidos para um computador, onde um software auxiliará na manipulação das imagens e no redesenho do sorriso.
Com o projeto final do sorriso personalizado em mãos, as imagens são compartilhadas com todos os profissionais da equipe e o plano de tratamento também pode ser apresentado para avaliação do próprio paciente. Para a finalização do projeto, o profissional também levará em conta os desejos e expectativas do paciente usando os princípios do design de sorriso.
Se aprovado, o trabalho é transferido e testado na prática, na boca do paciente, através de modelos criados pelo técnico dental integrante da equipe. Após estas provas, o paciente, mais confiante no processo, e aceitando o tratamento proposto, terá seu sorriso definitivo definido.
Além do resultado perfeito, o uso desses novos softwares e dos conhecimentos do designer de sorriso, o paciente ganha outra vantagem: tempo. Um tratamento completo, de boca toda, da avaliação ao resultado final, dura em média, de 3 a 8 semanas..
Conheça nossos tratamentos
Dentes saudáveis e um sorriso harmônico podem melhorar a autoestima, influenciando em aspectos da vida social, profissional e pessoal dos pacientes. Por isso, a odontologia moderna não se limita apenas na estética. A saúde bucal é fundamental para a saúde do corpo humano como um todo. Buscamos lhe oferecer além de novo sorriso agradável, saúde ao corpo inteiro.



